Les pires trucs retrouvés dans l'estomac et 22 radios insolites
Les médecins doivent avoir les nerfs solides. Dans leur travail quotidien, ils voient des choses si trash que le commun des mortels tomberait dans les pommes.
Mais n'ayez crainte, dans cet article, il n'y a pas de photos sanglantes prises dans une salle d'opération, juste des radiographies. Néanmoins, certaines radios ne sont pas faciles à regarder, même sans sang. Ne vous inquiétez pas, vous ne verrez les pires que si vous cliquez dessus. Donc, c'est à vous de choisir.
Elle est encore où cette satanée clé!
Ça doit un peu gratter.
Ça aurait pu être pire... une brique Lego par exemple.
«Vers l'infini et au-delà!»
Ci-dessous, sous un autre angle. Ou serait-ce un autre Buzz l'éclair? 🤔
Cette chanson n'a jamais été aussi appropriée:
Ce n'est pas un fake, voici toute l'histoire.
Combien de dents de sagesse une personne peut-elle réellement avoir?
Par en haut ou par en bas?😅
Celui-ci non plus, ce n'est pas un fake
Ron Hunt a survécu à un accident. Il a perdu un œil mais n'a subi aucune lésion cérébrale. Voici l'histoire complète.
Une image cauchemardesque.
Avaler accidentellement une pince pour fermer les sachets, ça peut arriver, mais avaler tous les couverts de la cuisine??
«Voilà, nous avons refermé. D'ailleurs, où sont mes ciseaux?»
Des p'tits clous, des p'tits clous, toujours des p'tits clous...
Oui, je sais, c'est des p'tits trous.
La souris est plus spectaculaire que le serpent.
Un souvenir éternel d'un voyage à Paris.
Ainsi, l'héritage reste DANS la famille.
N'ayez crainte, cette chatte n'a pas bouffé des rats, elle est juste enceinte.
Selon la personne qui a fourni la photo, il y a six bébés.
Quand t'essaies de faire rentrer de l'alcool en festival.
Bob l'éponge?😳
«Docteur, j'ai un mal de tête lancinant depuis une semaine.»
L'homme a survécu. Lorsqu'il a été transporté à l'hôpital, il réagissait encore.
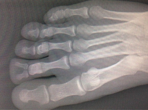
Vous voyez ce qui est atypique ici?
Tada!
Curieux...
Imaginez la conversation inconfortable avec le personnel médical...
On termine avec cette radiographie de jumeaux siamois.
(smi)
