«Je ne mourrai pas»: la petite Lisa abrite le diable dans son cerveau
Lisa a deux ans lorsqu'elle commence à arrêter de manger. Pendant des semaines, elle n'aura pas faim. Les parents sont confrontés à un problème, mais ne veulent pas se précipiter chez le médecin. Cependant, elle s’amaigrit.
Quelque chose cloche
«A un certain moment, nous avons compris que quelque chose n'allait pas», dit Sascha. Durant l'été 2020, le papa a beau préparer de délicieux plats, mais rien n'y fait: Lisa ne mangera pas. Elle ne veut pas non plus boire de lait. Elle devient de plus en plus faible et ses parents s'inquiètent davantage.
Ils consultent le pédiatre qui a fait sa formation en Allemagne. Ce dernier évoque alors une maladie génétique dont souffrent les deux enfants: la neurofibromatose.
En Allemagne, le médecin explique aux parents qu'en cas de maladie de ce type, on effectue une IRM. En Suisse, cela ne fait pas partie du protocole, bien que le risque de cancer soit légèrement plus élevé en cas de neurofibromatose. Il recommande donc de passer une IRM du crâne.
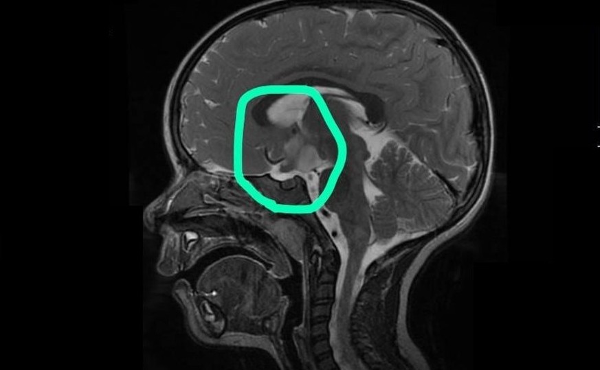
Le résultat
Les parents ne souhaitent pas voir la situation de Lisa se dégrader davantage et acceptent. L'IRM livre aussitôt une constatation: une tumeur de la taille d’une balle de golf se trouve dans la tête de Lisa.
La tumeur exerce une pression sur l'hypothalamus, ce qui fait que Lisa ne ressent plus la faim. La tumeur exerce également une pression sur le chiasma optique, le carrefour des nerfs optiques. Si la tumeur continue à se développer, Lisa risque de perdre la vue.
Le problème: la tumeur se trouve au milieu du cerveau et ne peut donc pas être enlevée chirurgicalement. Une intervention causerait trop de dégâts.
Pendant environ une semaine, Sascha le vit comme une fatalité, avant de finalement reprendre courage. «Dans un tel moment, il n'y a qu'une seule chose à faire», raconte-t-il. «Aller de l'avant.» Ce père fait alors fréquemment du footing et participe à des triathlons. «Là aussi, parfois, tu n'en peux plus et tu continues quand même.»
Les médecins informent la famille de l'existence d'une chimiothérapie qui, en théorie, permet de stopper la croissance de la tumeur cérébrale. Les résultats sont bons, mais le traitement ne fonctionne pas chez tous les enfants.
Sacha et sa femme Viola décident de commencer la thérapie. Toutefois, elle ne peut pas être lancée immédiatement. Lisa doit reprendre du poids. Pour cela, elle reçoit une sonde gastrique par laquelle elle est alimentée artificiellement. De plus, trois fois par jour, les parents de Lisa doivent lui fournir une alimentation liquide. Le processus dure 45 minutes à chaque fois.
Lisa ne peut plus aller à la crèche. C'est trop délicat à cause de la sonde gastrique. C'est sa mère Viola, qui ne peut plus travailler, qui s'en occupe. «La prise en charge à temps plein fait souvent souffrir les familles d'enfants atteints de cancer, y compris financièrement», raconte Sascha.
Le début du traitement
La chimiothérapie débutera à la fin de l'été 2020, Lisa aura retrouvé suffisamment de force grâce à l'alimentation artificielle.
Cependant, la fillette de cinq ans n'aime pas repenser à la sonde gastrique qu'elle doit porter pendant près de six mois. «C'est dégoûtant», dit Lisa. Elle montre une photo sur laquelle un tube dépasse de son nez. «J'espère que mon papa ne devra jamais avoir ça.»
72 est le nombre de fois où Lisa doit se rendre à l'hôpital pour enfants pour une séance de chimiothérapie. Une fois par semaine, pendant un an et demi. Une séance dure environ 15 minutes. Les médecins posent à Lisa un port-cathéter. Les médicaments arrivent directement dans la veine par cette entrée. Le port se trouve encore aujourd'hui dans la poitrine de Lisa.
Pendant le traitement, le coronavirus se répand en Suisse — une situation difficile pour l'hôpital pédiatrique de Zurich. «Le personnel soignant était tendu», explique Sascha. «Pour les enfants atteints de cancer, le coronavirus est plus dangereux que pour les enfants en bonne santé. Car leur système immunitaire est affaibli.»
Après les premières séances, Lisa se sent souvent mal et vomit. Il arrive alors que la sonde gastrique glisse. Pour Lisa, cela signifiait: retour à l'hôpital, nouvelle pose du tube, à nouveau la sensation «écœurante». Parfois même deux fois par jour.
Il est toutefois étonnant de voir la force dont Lisa a fait part dans cette situation, dit Sascha. «Elle a su faire face, pas comme nous. Elle est allée à l'hôpital et a joué le jeu. Le traitement était quelque chose de régulier et elle a pris jour après jour.»
Un jour, les parents apprendront à poser eux-mêmes la sonde gastrique. La tâche est lourde pour Sascha.
Dans cette période difficile, Sascha et Viola trouvent un soutien auprès de la fondation Sonnenschein, qui soutient les enfants atteints de cancer. Lors du camp d'été à Lenzerheide, ils échangent leurs expériences avec d'autres familles touchées par la maladie et se rendent compte qu'ils ne sont pas seuls. «Cet échange a été très important pour moi», déclare Sascha. Chaque année, environ 300 enfants et adolescents de moins de 15 ans sont touchés par le cancer.
Les premières semaines, la famille ne dispose d'aucun indice pour savoir si la thérapie fonctionne pour Lisa. Ce n'est qu'après trois mois qu'une IRM devrait fournir les premières informations. La tension avant ce rendez-vous est grande pour Sacha et sa famille.
Un premier soulagement
La peur fait place à un premier soulagement. La chimiothérapie fait effet. «La joie était immense», dit Sacha.
Malgré ce premier progrès, le chemin est encore long. Seul un sixième du traitement a été effectué. C'est l'époque où, en Suisse, les lieux publics doivent fermer pour la deuxième fois à cause du Covid. En une matinée, non seulement la restauration est fermée, mais les transports ne fonctionnent plus. Il a tellement neigé qu'il est impossible d'avancer dans Zurich. Pourtant, Lisa doit se rendre à l'hôpital pour enfants afin de suivre une thérapie.
Sacha ne veut en aucun cas manquer le rendez-vous, il s'empare d'une luge et tire sa fille à travers la ville pendant une heure et demie. La thérapie a également lieu ce jour-là. Il n'y a toujours qu'une chose à faire: aller de l'avant.
La thérapie ne marque pas seulement Lisa et ses parents, mais aussi son frère, deux ans de plus qu'elle. Il se demande pourquoi sa sœur doit toujours aller à l'hôpital et pourquoi ses parents sont si inquiets.
Lisa est maintenant de plus en plus en forme. La sonde gastrique peut être retirée. Cependant, les médecins ne peuvent pas garantir qu'elle pourra à nouveau manger correctement au bout de six mois.
La fin de la thérapie
Jusqu'à la fin de la chimiothérapie, Lisa doit se rendre tous les deux ou trois mois à l'IRM pour un contrôle. La tension monte à chaque fois avant ces rendez-vous, mais les médecins annoncent des nouvelles encourageantes: la chimiothérapie fonctionne à merveille chez Lisa.
La tumeur ne cesse pas seulement de croître, elle rétrécit même. «Nous avons eu une chance énorme que Lisa réagisse aussi bien à la thérapie», dit Sascha. Après 18 mois et 72 séances, la thérapie touche à sa fin. La tumeur est certes toujours dans la tête de Lisa, mais dans le meilleur des cas, elle reste désormais à cette taille. Elle «sommeille» — comme le dit Sascha à sa fille.
La vie aujourd'hui
Aujourd'hui, Lisa mène une vie presque normale. Grâce à ses nombreuses rencontres avec des infirmières et des médecins, elle est très ouverte aux adultes. Elle prend rapidement la main des visiteurs et leur dit: «Je veux m'asseoir à côté de toi». «Elle a appris cela pendant toutes les thérapies», dit Sascha en souriant.
Lisa est fière de montrer ce qu'elle a rapporté de ses vacances de ski. «J'ai déjà gagné deux médailles», raconte-t-elle en rayonnant sur tout son visage. Elle trouve les compétitions de ski plus amusantes que l'école de ski. «Là-bas, je dois toujours skier si lentement comme un bébé.»
Aujourd'hui, Lisa mange à nouveau toute seule. Cependant, son sentiment de satiété ne fonctionne pas correctement. «Nous devons faire très attention à la quantité qu'elle mange, dit Sascha. Parfois, elle mange tellement qu'elle vomit.»
Actuellement, Lisa doit passer une IRM tous les quatre mois. Cela permet de vérifier que la tumeur ne se développe pas à nouveau. La fillette de cinq ans n'aime pas se rendre aux rendez-vous de contrôle, car ils impliquent une anesthésie générale et elle doit avoir l'estomac vide. «J'ai alors toujours faim le matin», se plaint-elle. «Je n'aime pas aller à l'hôpital», dit Lisa. «Je préfère rester à la maison ou aller à la crèche et faire des bêtises.»
Jusqu'à présent, les contrôles se sont toujours bien passés. Il est possible que Lisa n'ait plus jamais à subir de chimiothérapie. Mais il y a aussi le risque que la tumeur recommence à croître. Par exemple à la puberté, lorsque l'activité hormonale augmente.
Cependant, Sascha reste confiant:
Depuis, Sascha est devenu lui-même membre du conseil de la fondation Sonnenschein. «Je veux donner quelque chose en retour et aider d'autres familles dont l'enfant est atteint d'un cancer.»
«Je vois la vie différemment maintenant. Le travail et tout ça ne sont plus que secondaires pour moi», dit Sascha. Il ne se projette pas trop loin dans l'avenir, mais prend année après année. «Je profite du temps que nous avons ensemble.»
Cet optimisme semble avoir déteint sur sa fille. Un jour, elle a dit doucement, mais fermement: «Je ne mourrai pas.»
*Les prénoms ont été modifiés par la rédaction. La famille souhaite que Lisa ne puisse pas être trouvée plus tard lors d'une recherche sur Google.
Traduit et adapté par Pauline Langel.
