bild: hkmj
Baby trägt Baby im Bauch: «Es ist einer dieser seltenen Vorfälle, bei denen die Welt stillsteht»
In einer Klinik in Hongkong wird ein Mädchen mit einem dicken Bauch geboren. Die Ärzte vermuteten bereits vor der Geburt einen Tumor. Doch als sie das Baby röntgen, stellen sie fest, dass sich in seinem Bauch zwei Föten befinden. Die Überreste seiner Geschwister.
Dieses äusserst seltene medizinische Phänomen nennt sich «foetus in foeto»: Im Mutterleib entwickeln sich zunächst mindestens zwei Föten und danach werden – anders als bei miteinander verwachsenen Siamesischen Zwillingen – ein oder mehrere Föten dem anderen einverleibt.
bild: wikipedia
Das passiere schätzungsweise bei einer von 500'000 Geburten, heisst es in der Studie von Dr. Nicholaus Chao, einem der behandelnden Ärzte des Mädchens. Und darüber berichtet wurde weltweit erst weniger als 200 Mal.
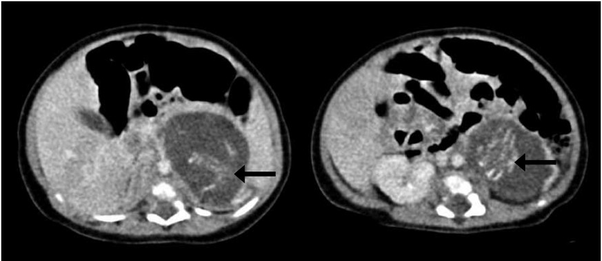
Die beiden Föten im chinesischen Mädchen waren im gleichen Stadium der Entwicklung, es handelte sich also sehr wahrscheinlich um Zwillinge. Sie wiesen Wirbelsäule, vier Gliedmassen, intakte Haut, Brustkorb, Darm, After, Genitalien und primitives Hirngewebe auf. Und sie waren mit einer Nabelschnur verbunden. (Wer sich das – etwas grausige – Bild des chinesischen Falls anschauen will – hier entlang!)
«Es ist einer dieser seltenen Vorfälle, bei denen die Welt stillsteht», sagte Nicholas Chao, der das Mädchen operierte, gegenüber CNN. So ein Fall sei ihm während seiner ganzen Zeit auf der Pädiatrie nicht untergekommen.
bild: Gangopadhyay et al/ BioMed Central
Üblicherweise werden Föten früher entdeckt
In ihrer Studie gehen die Ärzte davon aus, dass es sich um «kleine parasitische Föten» gehandelt haben muss, die sehr langsam gewachsen seien. Denn üblicherweise bemerken Ärzte sehr früh, wenn mehrere Föten in einer Gebärmutter sind, aber sich nur einer entwickelt, und die anderen verdrängt.
Dieses Mal nicht. Das Mädchen wurde im Alter von drei Wochen einer Operation unterzogen, wobei ihr die beiden Geschwister-Föten entfernt wurden. Alles lief gut, und die Kleine ist wohlauf.
(rof)
