Jasper entkam in Zürich nur knapp dem Tod – und lange merkte es gar niemand
«Angst, abends nach Zürich zu gehen, habe ich keine», sagt Jasper B.* zu watson. Es sind mutige Worte für einen 16-Jährigen, der erst vor wenigen Wochen in der Stadt angeschossen wurde.
Am 15. Juni geht Jasper mit Freunden ans Stolze Openair, ein Gratis-Festival auf der Stolzewiese im Zürcher Kreis 6. Gegen Abend will er das Gelände kurz verlassen, um einen Freund abzuholen. Etwas abseits vom Trottoir wartet er auf ihn.
Plötzlich hört Jasper einen lauten Knall. «Fast gleichzeitig spürte ich einen starken, stechenden Schmerz unter meinem linken Ohr. Als hätte mir jemand mit voller Wucht eine Ohrfeige gegeben», sagt Jasper.
Benommen fasst sich Jasper auf die schmerzende Stelle am Kiefer, direkt unter dem Ohrläppchen. Er spürt: Blut.
«Ich schaute mich um, doch sah niemanden in meiner unmittelbaren Nähe. Ich war vollkommen verwirrt, aber wollte keine riesige Szene daraus machen. Deshalb ging ich zurück zu meinen Freunden und sagte ihnen, dass ich nach Hause gehe.»
Sie begleiten ihn und im Tram rätselt die Gruppe darüber, woher die Verletzung kommt. Ob ein Gummigeschoss oder eine Softgun, wie sie oft an Jahrmärkten an Kinder verkauft wird (ugs. Bibigun), ihn so hart hätte treffen können. Denn wer geht sofort vom Schlimmsten aus?
Zu Hause, in Wädenswil, klebt Jasper ein Pflaster über die Wunde und wirft eine Schmerztablette ein. Dann geht er ins Bett. Er schläft schnell ein. Ohne zu merken, dass eine Kugel in seinem Kiefer steckt.
Ärzte übersehen Kugel
Am nächsten Morgen wacht Jasper mit «höllischen Kopfschmerzen» auf und fühlt sich noch immer benommen. Seine Mutter, Sandra, schickt ihn deshalb vorsichtshalber auf die Notfallstation des Stadtspitals Triemli.
Dort erzählt Jasper vom vergangenen Abend, vom lauten Knall, dem Schmerz, der Wunde. Seiner Vermutung, dass er von einem Gummigeschoss getroffen worden ist.
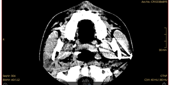
Der zuständige Arzt ordnet eine Computertomografie (CT) an, erkennt darauf aber nichts Auffälliges. «Man sagte mir, es handelt sich bei meiner Verletzung um eine Prellung.»
watson liegt der ambulante Bericht des Spitals vor. Darin empfiehlt der Arzt Jasper, die betroffene Stelle zu kühlen. Er gibt Jasper Schmerzmittel und schickt ihn dann nach Hause. Die Kugel bleibt in Jaspers Kiefer. Unentdeckt.
Zahnarzt sieht die Kugel auf dem Röntgenbild nicht
Noch am selben Tag geht Jasper zur Polizei und erstattet Anzeige wegen Körperverletzung gegen Unbekannt. Fall abgehakt, denkt Jasper.
Doch in den darauffolgenden Tagen nehmen die Schmerzen im Kiefer zu. Sein Zahnfleisch entzündet sich. Jasper geht zum Zahnarzt. Dieser macht ein Röntgenbild und stellt fest: Seine Weisheitszähne müssten gezogen werden.
Der Zahnarzt zieht ihm noch am selben Tag einen seiner Weisheitszähne – ohne dabei die Kugel zu entdecken.
Eine Woche später muss Jasper erneut zum Zahnarzt, um die Fäden zu ziehen. Seine Mutter begleitet ihn. Als der Zahnarzt ihr das Röntgenbild zeigt, um zu erklären, dass er auch die anderen Weisheitszähne ihres Sohnes ziehen müsse, sticht ihr etwas ganz anderes ins Auge. Ein weisser Punkt.
«Ich habe sofort gefragt, was das ist. Er riss seine Augen weit auf und sagte, es sei etwas, dass da nicht hingehöre», erinnert sich Jaspers Mutter Sandra im Gespräch mit watson. Sie hat die Kugel in Jaspers Kiefer entdeckt.
Spital sieht Kugel auf ursprünglichem CT
Sandra schickt das Röntgenbild des Zahnarztes umgehend an das Zürcher Stadtspital Triemli, wo man ihren Sohn behandelt hat. Sie fragt, warum niemand die Kugel entdeckt hat.
In der E-Mail-Antwort des behandelnden Oberarztes, die watson vorliegt, steht:
Die Ärzte hätten die Kugel also auch auf dem ersten CT sehen müssen.
Für Sandra war das ein «Schock», wie sie sagt. «Ich wusste nicht, dass so etwas übersehen werden kann. Aber ich verstehe auch, dass jeder Fehler machen kann.»
Auf Anfrage von watson, wie dieser Fehler unterlaufen konnte, schreibt das Stadtspital nur: «Das Stadtspital Zürich ist an die ärztliche Schweigepflicht gebunden. Wir bedauern, Ihnen keine Auskünfte erteilen zu dürfen.»
Immerhin: Nachdem die Kugel endlich entdeckt war, geht es schnell. Der behandelnde Arzt des Spitals überweist Jasper sofort an einen Spezialisten, der die Kugel chirurgisch in der Klinik Bethanien entfernen soll.
Beweismittel noch brauchbar?
Kurz vor der Operation geht Jasper nochmals bei der Kantonspolizei auf dem Posten in Wädenswil vorbei und klärt sie über die neusten Entwicklungen auf. Schliesslich hat er Anzeige erstattet. «Die Polizisten haben mir geraten, nach der Operation die Kugel auf den Posten zu bringen, damit sie polizeilich untersucht werden kann», sagt Jasper.
Ein Ratschlag, der Fragen aufwirft. Wurde damit nicht die Beweismittelkette gebrochen?
Für Jonas Weber, Professor für Strafrecht an der Universität Bern, sorgt das Vorgehen der Polizei für Verwunderung. Er erklärt gegenüber watson:
Dies könnte dann relevant werden, wenn der Schütze ausfindig gemacht und gegen ihn ein Strafverfahren etwa wegen einfacher oder versuchter schwerer Körperverletzung geführt würde.
Aber, so sagt Weber: «Ich gehe davon aus, dass das Spital die Herausnahme der Kugel dokumentiert hat und im Strafverfahren auf diese Dokumentation der Operation und der Kugel zurückgegriffen werden kann.»
In allen anderen Fällen würden die Ärzte bei einer Meldung an die Polizei die Gefahr eingehen, ihre Schweigepflicht zu verletzen.
Weber kommt bei Jaspers Fall zum Schluss: «Die Polizei misst dem Vorfall offenbar keine grosse Bedeutung zu, weshalb sie ihren Aufwand gering halten will. Zudem ist im Moment aufgrund der hohen Temperaturen und der Schulferien ziemlich viel los an den Abenden und Nächten, sodass die Polizei Prioritäten setzen muss. Deshalb wird sie den Jugendlichen wahrscheinlich angewiesen haben, die Kugel selbst vorbeizubringen. Meines Erachtens ist dieses Verhalten der Polizei nicht ungewöhnlich oder unsorgfältig.»
Auf Anfrage von watson teilt die Kantonspolizei Zürich mit, dass sie jede Anzeige ernst nehme:
Die Polizei ist bis zur Anfrage von watson also gar nicht von einer Tat mit einer Schusswaffe ausgegangen.
Knapp am Tod vorbei
Fast auf den Tag genau einen Monat nachdem Jasper in Zürich angeschossen wurde, war die Kugel draussen. Wie sich herausstellte, war es kein Gummigeschoss, sondern eine Kugel aus Blei. Die dazugehörige Waffe ist zurzeit noch unbekannt.
Der pensionierte Waffenexperte Jürg Schöttli geht anhand der Art der Kugel davon aus, dass es sich um eine Schrotflinte handeln könnte. Genauer: eine Schrotflinte, wie sie Jäger benutzen.
Schöttli amtete früher als Oberst der Infanterie, Ausbilder für Faustfeuerwaffen und Langwaffen. Er erklärt anhand der Bilder, die watson ihm von der Kugel vorlegt: «Diese runden Patronen werden heute nur noch im Jagdbereich verwendet. Ein Luftgewehr schliesse ich aus, da diese zylinderförmige Patronen verwenden. Die Waffe könnte eine Jagdflinte Kaliber 12 oder 16 sein.»
Dazu passen würde auch der laute Knall, den Jasper gehört, und der Schlag ins Gesicht, den er gespürt hat. Schöttli betont:
Wieder stellen sich einige Fragen: Wer nimmt eine Schrotflinte an ein Gratis-Festival in Zürich mit? Wer schiesst mit so einer Waffe auf Menschen? Was ist das Motiv? Es sind Fragen, für die es zurzeit noch keine Antworten gibt.
Am Mittwoch gaben Jasper und seine Mutter die Kugel bei der Polizei ab. Diese kann nun ermitteln. Mutter und Sohn hoffen, dass der Fall möglichst schnell aufgeklärt werden kann.
«Ich will mir gar nicht vorstellen, dass mich irgendjemand bewusst visiert, dann angeschossen und in Kauf genommen hat, dass ich schwer verletzt werde – oder sterbe», sagt Jasper. Er hofft stark, dass es nur ein Unfall war. Dass er zur falschen Zeit am falschen Ort war.
Doch egal, was herauskommen wird: Angst, abends nach Zürich zu gehen, hat der 16-Jährige nicht. Nach dieser irren Geschichte zeugt das von sehr viel Reife.
*(Name der Redaktion bekannt)
