6 Dinge, die Ärzte schon aus den Hintern von Patienten entfernen mussten
«Was reingeht, muss auch wieder rausgehen». Das klingt zwar wie eine logische Handlungsanweisung, aber sie klingt eben nur so.
Manchmal gehen Dinge, die reingegangen sind, eben nicht mehr so einfach wieder raus. Und zwar insbesondere dann, wenn sie rektal eingeführt wurden.
In anderen Worten: Durch den Hintern
So wird in der medizinischen Fachliteratur von Fällen berichtet, in denen Flaschen, Sextoys, Zahnbürsten aber auch Dinge wie ein Besenstiel oder ein Schweineschwanz (ja, Schweineschwanz) bereits aus Hintern entfernt wurden.
Auf der Website radiopaedia.org werden entsprechende Fälle dokumentiert, sogar mit Röntgenaufnahmen. Wir haben die kuriosesten Fälle für euch gesammelt.
Ein Riesendildo
Bei dieser Aufnahme bleiben nicht viele Fragen offen. Es ist definitiv ein Riesendildo.
Die Aufnahme wurde mit der Bemerkung hochgeladen:
Diese Erklärung hätten wir in der Tat auch gerne gehört.
Weiter geht es mit:
Einer Aubergine
Das Lebensmittel ist auf der Aufnahme für Laien nicht so gut zu erkennen, aber dennoch gut genug: Hier wurde eine Aubergine rektal eingeführt.
Blöderweise bedeutet die zulaufende Form der Aubergine, dass sie sich, einmal eingeführt, immer weiter in den Körper hineinschieben kann. So bleibt für den Auberginen-Freund also nur ein Besuch in der Notaufnahme.
Bierflasche
In diesem Fall hat sich jemand eine Bierflasche eingeführt. Glücklicherweise hat die Flasche dabei keine Schäden am Darm angerichtet – dafür sorgte in dem Fall die Dehnbarkeit des Organs sowie die Lubrikation dank natürlicher Sekrete.
Und ihr dürft uns danken, das wir das so delikat formuliert haben. 😇
Die Bierflasche musste allerdings trotzdem im Rahmen einer Operation entfernt werden, um das Gewebe nicht zu beschädigen.
Ein Deo-Roller
Auch ziemlich eindeutig, wie man auf der Aufnahme sehen kann. Der Roller konnte, anders als im Fall der Bierflasche, allerdings ohne Skalpell entfernt werden. Phew!
Eine Sprühdose
Dieser Patient musste unter Narkose gesetzt werden, um die Sprühdose zu entfernen.
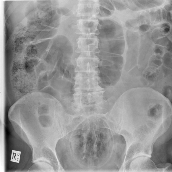
Ein Ei
Zum guter Letzt ein besonders kurioser Fall. Denn hier wurde der Gegenstand nicht etwa aus Gründen der sexuellen Stimulation, sondern der Selbstmedikation eingeführt.
Der Fall soll aus dem Archiv eines iranischen Arztes stammen, der eine Patientin aus einer ländlichen Gegend behandelte, in der das Einführen eines Eies zur Schmerzlinderung vollzogen wurde. Hierbei ging es wohl um Schmerzen, die durch einen Knochenbruch verursacht wurden, wie auf dem Bild zu sehen.
